Μια έγκυος ανεμβολίαστη γυναίκα δίνει μάχη να κρατηθεί στη ζωή.
Η εγκυμοσύνη της εξελισσόταν ομαλά και το μωρό της αναπτυσσόταν κανονικά, μέχρι που η γυναίκα κόλλησε κορωνοϊό.
Εισήχθη στο νοσοκομείο σε σοβαρή κατάσταση και οι γιατροί αναγκάστηκαν να της πάρουν πρόωρα το μωρό της με καισαρική τομή. Το μωρό -που θα μπορούσε να είχε γεννηθεί κανονικά- πλέον βρίσκεται και εκείνο σε κίνδυνο λόγω της προωρότητας. Γεννήθηκε 5,5 μηνών.
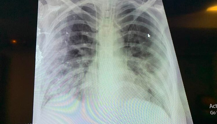
Σοκαριστική είναι η ακτινογραφία του πνεύμονά της που δημοσιοποίησε στο Facebook ο Καθηγητής Παιδιατρικής του ΑΠΘ, Κοσμάς Σαραφίδης, από το Ιπποκράτειο Θεσσαλονίκης.
Μόνο ο μισός από τον κάθε πνεύμονά της λειτουργεί και η πρόγνωση για την εξέλιξη της κατάστασης της υγείας της είναι άγνωστη. Η εικόνα της ακτινογραφίας που ανάρτησε ο Παιδίατρος είναι χαρακτηριστική:
Η ανάρτηση του Παιδίατρου Κοσμά Σαραφίδη
Στην ανάρτησή του ο Παιδίατρος, Κοσμάς Σαραφίδης γράφει:
Ακτινογραφία θώρακα ανεμβολίαστης εγκύου που διασωληνώθηκε χτες και γέννησε πολύ πρόωρα λόγω της βαρύτητας της κατάστασης της. Μόνο ο μισός από τον κάθε πνεύμονα της λειτουργεί. Άγνωστη η πρόγνωση της μητέρας.
Και ένα νεογνό που θα μπορούσε να γεννηθεί στην ώρα του, τελειομηνο, και να αποφύγει όλους τους κινδύνους της προωρότητας.
Αυτό που γράφεται σε ανάλογες περιπτώσεις, ότι δηλαδή το μωρό σώθηκε, είναι τελείως ανακριβές. Μήνες εντατικής νοσηλείας για να επιβιώσει και μόνο! Και με νευροεξέλιξη απρόβλεπτη σε μεγάλο βαθμό!
ΚΡΙΜΑ, ΚΡΙΜΑ!
Τα σχόλια είναι περιττά!

